超音波検査
超音波検査について
超音波検診に力を入れています。検査は医師・超音波検査技師(女性・火曜日午前中・予約制)が行います。
※ 腹部エコー検査:
平日の来院で検査が必要な場合は可能な限りその日に検査します(火曜日午前中は予約診療のためすぐ対応できません)。検査希望の方は空腹状態で(食後4時間以上経過後)ご来院下さい。
超音波検査とは
頸部(動静脈・甲状腺)、心臓、腹部(肝臓・胆のう・膵臓・脾臓・腎臓・膀胱・腹部大動脈等)、下肢(動脈・静脈)等が観察できる検査です。
高齢者でも無理なく行えます。病変の経過観察、早期発見としたスクリーニング検査などが行えます。
※検査は基本的には予約制です。
必要に応じて医師から検査の必要性について説明いたしますが、ご希望の際は外来受診時、お電話などにてお問合せください。
※腹部超音波検査は空腹時の検査が基本です。緊急時以外は水分や必要な薬以外は摂取せずに検査にいらしてください。
超音波機器について
超音波検査では機械の性能が画質を決定します。性能の良い超音波機器での検査ではより詳細な情報が得られます。
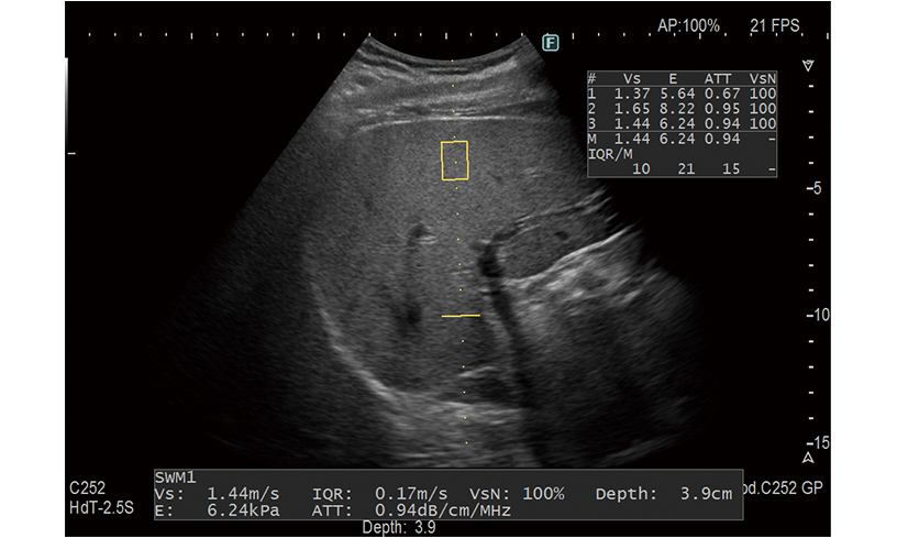
肝硬度・線維化・脂肪化測定
Shear Wave Measurement(SWM) / Attenuation計測(ATT)
組織にせん断波を発生させ、伝搬速度(Vs)を計測することで硬さを定量的に評価できます。肝脂肪化の程度を推定するための指標(ATT)も同時に計測します。
慢性肝障害のある方・脂肪肝がある方













